• 患者服务: 与癌共舞小助手
  • 微信号: yagw_help22

QQ登录

只需一步,快速开始

开启左侧

[治疗分享] 与爱同行的日子:记录父亲肺鳞癌(75岁)的抗癌历程(补记一年半病历,有空再更新)

  [复制链接]
478140 99 无日不风波 发表于 2023-3-13 07:52:35 |
我们赢了!  初中二年级 发表于 2023-5-24 20:48:36 来自手机 | 显示全部楼层 来自: 中国
无日不风波 发表于 2023-03-14 23:210 f, e; c( G' E+ x$ N
本帖最后由 无日不风波 于 2023-3-15 06:37 编辑
: p( f. I. z+ I3 b+ M& g: T
; h, E6 }$ X% o7 N! X5 `3月14日记录:新出现的双重挑战:骨转止痛与升白升板
; M% Y5 P" _9 l6 }" e8 v       36、   双化疗的骨髓抑制:3月1日K+吉西他滨+卡铂,3月6、7日连续2天短效升白,8日吉西化滨小化疗,9日用艾多长效升白,10日开始准备骨水泥手术(10日拍腰椎CT~腰椎3d重建,13日腰椎MRI增强),但11日的白细胞1,粒细胞0.6,血小板50,提示骨髓抑制严重,13日开始用瑞白短效升白,注射用白介素11升血小板,14号白细胞、粒细胞达标,但血小板却跌至25的低点。吉西+卡铂引起的骨髓抑制太难处理。因为血小板过低,14日开始加特比澳升血小板,要等指标正常才能作骨水泥联合射频消融的微创手术。
, P7 ?  F( ]" @! ?       10日之前的2天,左锁骨开始疼痛,近2天疼痛加剧,难忍,CT显示左锁骨处异常,14日做核磁平扫进行初步检测查锁骨原因(因不想太多照影剂,所以未选MRI增强)。13日开始采取早晚各:奥施康定1片(10mg)+塞来昔布1片的止痛药组合,效果不佳,又准备止痛药泰勒宁(拟在疼痛爆发期,作短期加药处理)。2 ?1 V3 _4 @- A7 r
       晚上在归家路上接到父亲从医院打来的问候电话,心中又增添了一份力量和暖意。我们都不是在孤军奋战,新的挑战面前,我们父子又要再度携手。
0 O* D, ~6 X! S, s8 {
骨水泥手术做了吗?费用大概多少,我也考虑带我爸去做这个手术,奥施康定30mg都压不住痛了。

举报 使用道具

回复 支持 反对
无日不风波  初中二年级 发表于 2023-5-28 09:56:42 来自手机 | 显示全部楼层 来自: 安徽芜湖
我们赢了! 发表于 2023-05-24 20:48
1 K. ^7 e& r5 v" C8 o0 X骨水泥手术做了吗?费用大概多少,我也考虑带我爸去做这个手术,奥施康定30mg都压不住痛了。
; p$ j3 _9 w- Z! |- ?: D
腰椎L2、L5做了骨水泥联合射频消融,报销完后自费三万元。

举报 使用道具

回复 支持 反对
无日不风波  初中二年级 发表于 2023-5-28 22:00:12 来自手机 | 显示全部楼层 来自: 安徽芜湖
一周前胸闷有加重(一天有3~4次有点透不过气),住院输液地塞米松和三代头孢一周了,胸闷症状也基本都缓解了,23号查心脏彩超,心脏也没什么大问题(无胸腔积液、心包积液,近期心肌指标等也正常)。上周期的治疗方案为:替雷+安罗,今天咨询医生,建议改为:单用安罗。

举报 使用道具

回复 支持 反对
大树早日康复  高中一年级 发表于 2023-6-9 23:36:53 来自手机 | 显示全部楼层 来自: 江苏泰州
楼主能加您微信吗?家人79周岁,白紫+K维持,现在单药K可能维持不住,想跟您聊聊,微信号17327839289,麻烦您看到加下我

举报 使用道具

回复 支持 反对
无日不风波  初中二年级 发表于 2023-6-18 19:02:13 来自手机 | 显示全部楼层 来自: 安徽合肥
大树早日康复 发表于 2023-06-09 23:36
) I5 B/ m4 W9 b, `0 U& O  G楼主能加您微信吗?家人79周岁,白紫+K维持,现在单药K可能维持不住,想跟您聊聊,微信号17327839289,麻烦您看到加下我
1 A! w" l4 ~8 T# }
前几天忙忘了

+ A8 H8 B5 \9 U                               
登录/注册后可看大图
刚申请加你微信了

举报 使用道具

回复 支持 反对
无日不风波  初中二年级 发表于 2023-8-6 11:27:04 来自手机 | 显示全部楼层 来自: 中国
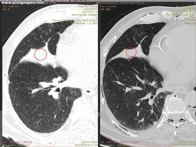
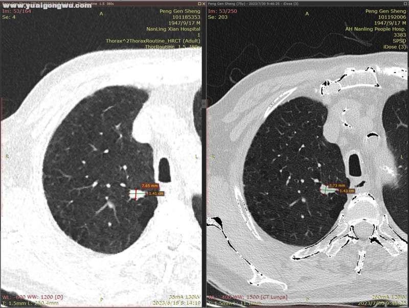
         6月3日~7月29日,单用安罗替尼12mg(3周期),6月18日CT显示左肺主病灶稍缩(主病灶62mmx57mm);因近期有一点点吸不上气的感觉(吸氧后有缓解,其他身体体征正常,体感良好),7月30日CT显示左肺主病灶稍增大(主病灶68mmx62mm)。- L* L' w9 C: J7 b
  * i, v8 B# [; {" S, S6 e
      影像科医生将7月30日的胸部CT,和6月18日的胸部CT电子影像对比分析如下:
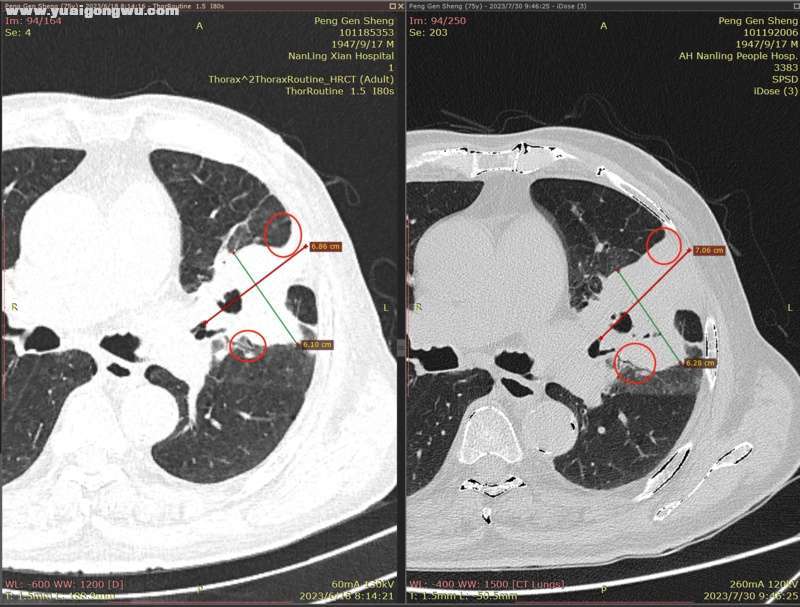
: v& _. J  {' _( E1 `) |4 A: L* ^         1、左肺上叶主病灶(肿块),7月30日复查较2023.6.18略增大,如图红圈所示,局部边缘饱满(图1);: O% K* B! J8 F9 Q9 t8 j3 d
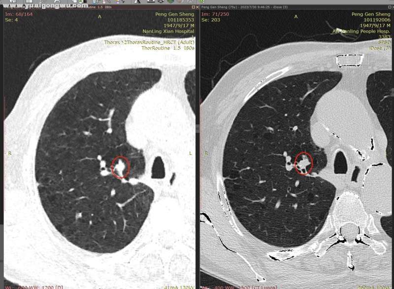
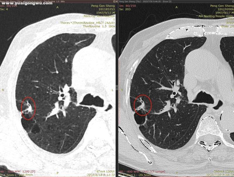
      2、右肺多发小结节,前面两枚之前重点关注的结节(有时变大有时变小),这次复查略微变小(图2~5;+ }% G% E$ F0 e  U; {- |' V' B
       3、右肺中叶实变区域,体积略变小(图6);- z3 W  \% n% e
        4、纵膈小淋巴结、肺部炎症情况基本没有变化。% y' R# g! n. ^# F) M8 n
       医生给的治疗调整方案为:安罗+白紫(重启),理由为:' O9 U( W5 `" Z0 d  @% P
      第1,白紫和免疫联合,在所有的临床试验里面疗效都是最好的,吉西他滨跟免疫联合疗效差点,(白紫+安罗的方案没有用过,也有起效的概率);再者,用药方面白紫要更加便利;3.是我爸用白紫获益时间相对来说还是比较长的。
* R5 w. e) k/ [9 Y( L' s' h* x* n7 d        以下为近两次CT影像的对比分析。7 Z8 B" @7 n7 B# ?+ K" ?( E( {) v
1691292405453591_725.png   B1 {/ F/ C: t1 p: x$ E
1691292405472588_619.png
2 t' {& ?/ f! K% ^ 1691292405473452_304.png ( Y' A+ a! X8 x& y: M* I
1691292405474656_657.png
$ z5 T. Z( `+ {/ {! M 1691292405475202_479.png   f0 q. S2 _* T) b6 N  Z
1691292405475204_454.png

举报 使用道具

回复 支持 反对
累计签到:3 天
连续签到:1 天
[LV.2]与爱新人
闯关3AN2  博士一年级 发表于 2023-8-7 11:13:14 | 显示全部楼层 来自: 江苏
无日不风波 发表于 2023-8-6 11:27
4 s  p- y9 a$ G5 A6月3日~7月29日,单用安罗替尼12mg(3周期),6月18日CT显示左肺主病灶稍缩(主病灶62mmx57mm) ...

, p8 E1 X3 L$ M! e+ W+ U' y心真细,学习了,请教白紫方便怎么讲!

举报 使用道具

回复 支持 反对
无日不风波  初中二年级 发表于 2023-8-9 11:03:08 来自手机 | 显示全部楼层 来自: 安徽宿州
意思是3支白紫可以一次性用完,不像吉西他滨需要按1、8周期来

举报 使用道具

回复 支持 1 反对 0
大眼睛妈妈  初中二年级 发表于 2023-8-10 07:57:24 来自手机 | 显示全部楼层 来自: 中国
你好,请问可以拉我进免疫群吗?我妈妈k药耐药后,试了安罗替尼、ak104均无效,不知道该怎么办?

举报 使用道具

回复 支持 反对
无日不风波  初中二年级 发表于 2023-8-13 21:17:21 来自手机 | 显示全部楼层 来自: 安徽芜湖
大眼睛妈妈 发表于 2023-08-10 07:57& V& e$ A; h2 c% a: b- @" m4 |
你好,请问可以拉我进免疫群吗?我妈妈k药耐药后,试了安罗替尼、ak104均无效,不知道该怎么办?

$ k3 M8 A4 {6 X) F我私信你,加你微信后拉你入免疫群。

举报 使用道具

回复 支持 反对

发表回复

您需要登录后才可以回帖 登录 | 立即注册

本版积分规则

  • 回复
  • 转播
  • 评分
  • 分享
帮助中心
网友中心
购买须知
支付方式
服务支持
资源下载
售后服务
定制流程
关于我们
关于我们
友情链接
联系我们
关注我们
官方微博
官方空间
微信公号
快速回复 返回顶部 返回列表